Skoro jasno
12°
Bratislava
Richard
3.4.2026
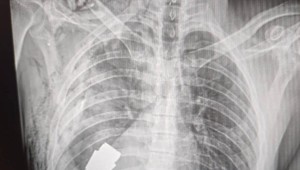
Pri srdci mal nevybuchnutý granát. Pozrite si rozhovor s odborníkom
Zdielať na

Pri srdci mal nevybuchnutý granát. Pozrite si rozhovor s odborníkom

BRATISLAVA / O ďalších detailoch náročnej operácie pri vyberaní nevybuchnutej strely z granátometu sme sa rozprávali s Petrom. Jeho tvár vám nemôžeme ukázať, pretože pôsobí na Ukrajine a je súčasťou tímov taktickej medicíny. Rozhovor urobila reportérka Marika Dulaiová.

Súvisiace články

Najčítanejšie